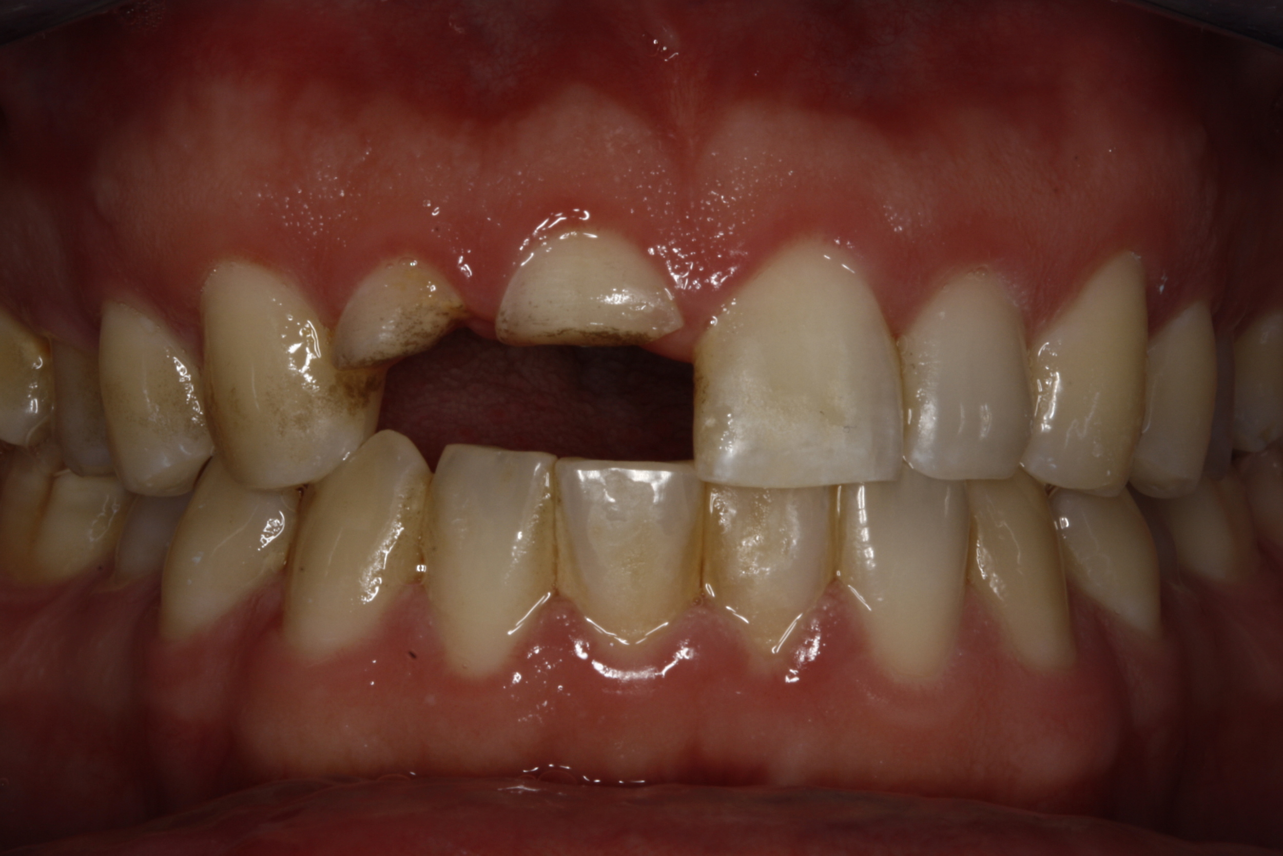
Case - Tim

Procedure goes here

(Click images to enlarge)

I am ready to schedule
 

WHAT OUR PATIENTS ARE SAYING ABOUT US

"Absolutely outstanding and friendly people!! Best in the NW!! Gina is AWESOME! :)"

         - roman B

 
"I normally really, really don't like the dentist, but Dr. Buttaro and her team are fantastic. Great care! They made me feel at ease and comfortable in their care. Thanks!"

         - Brian M